Рентгенологиялық зерттеудің негізгі әдістері


Рентгеноскопия (рентген сәулесімен ағзаны көзбен көре отырып тексеру) және рентгенография (рентгенге түсірілген сурет алу) ең көп тараған және классикалық зерттеу әдістері, бұлардың маңыздары өте зор. Рентгеноскопия кеуде қуысы мүшелерінің қызметін (функциясын) зерттеуге мүмкіншілік туғызады (өкпе бөліктерінің дем алғандағы қозғалыс бағыты, өкпе түбірінің соғуы, қабырғалардың қозғалыс бағыты мен мөлшері, диафрагманың (көкеттің) қозғалыс деңгейін,көкірек қуысы (медиастинум) мүшелерінің қозғалыстары мен ығысулары, жүрек пен қолқаның соғуы және т.б.). Рентгеноскопия кезінде ауруды түрлі бағытта (проекцияда-тіке, бүйірінен, қиғаш және т.б.) немесе орында (тұрғанда, жатқанда, бір бүйіріне аунағанда және т.б.), яғни бірнеше проекцияда зерттеуге толық мүмкіншілік береді.


Рентгеноскопияның түрлері: флюороскопия − рентген түтігін электр энергиясын беретін жүйеге қосқан кезде флюоресценция беретін экранда зерттеулі адамның позитивтік (оң) көлеңкесінің жалпақ суреті пайда болады (ыңғайсыз жері-көзді қараңғыға жақсы үйретіп алып экранға қарау керек); флюоресценция беретін экранның орынына денеден өткен сәуленің жарықтығын үдететін аспап (РСҮ-рентген суретін үдеткіш электронды-оптикалық құрал) қолдану арқылы көлеңкеден тұратын суреттің жарықтығын 1-2 мың есе көбейтуге болады (пайдасы-бөлмені қараңғылау керегі жоқ, аурудың жағдайын байқап отыруға болады; ыңғайсыз жері көрінетін сурет оптикалық бірнеше рет кішірейтілген, зерттеуші аурудан алшақталған, ауру адамға өз қолымен тексеру жасай алмайды); рентгенотелевизиалық скопия − рентген сәулесін үдететін аспапқа теледидардың камерасын жалғастыра орналастыру арқылы аурудың мүшелерінің рентгендік позитивті көлеңкесінің жалпақ суретін теледидар арқылы зерттеу (сурет-1).

Осы үш тәсілдің үшеуі де қазір қолданылып жүргенімен болашақта алдыңғы екеуі тек рентгенологияның тарихында қалатын болады. Алдымызда санды (цифрлы) рентгенотелевизиялық скопия.


1-ші сурет. Рентгенотелевизиялық скопия жасайтын аппараттың жалпы көрінісі

Рентгенография − рентген сәулесінің көмегімен жарық сезгіш ( рентгенпленка − екі жағына күмістің тұздары жағылған қабыршақ, электрондық жартылай өткізгіштер; газды немесе фотодиодты сцинтиляторлар және т.б. жарық сезгіштер, яғни детекторлар) құрал қолдану арқылы зерттелуші адамның мүшелерінің рентген суретін алу әдісі. Рентгенография мүшенің рентгеноморфологиясын зерттеуге мүмкіндік береді. Рентгенограмма – заңды құжат, дерттің өзгерістерін уақыт өткеннен кейін салыстырып зерттеуге болады, оның сезімталдығы рентгеноскопияға қарағанда бірнеше саты жоғары. Тыныс алу мүшелерін рентгенография жасағанда зерттелуші адамды рентген түтігінен 1,8-2,0 метр қашықтықтан түсірген жөн (мүшенің көлеңкесі мен оның көлемінің мөлшері теңесуге жақындайды), түсіретін уакыт 0,05 секундтен аспауы керек,түсіру кезінде ауру демін ішіне толық алып демін тоқтатқан жөн. Түсіру бағыттары-тікелей, бір бүйірінен, қиғаш, кейбір кезде нысанаға алу (рентгеноскопия кезінде көздеп түсіру тәсілі). Рентгенографияның озық (прогрессивтік) түрі санды (цифрлы) рентгенография . Жүректі стандарттық бағыттарда (тікелей, оң қиғаш, сол қиғаш, сол бүйірінен) зерттейді. Рентгенограмманы түсіретін уақыт 0,01-0,02 секундтен аспауы керек (сурет-2).

2-ші сурет (а). Рентгенография және томография жасайтын аппараттың жалпы көрінісі

2-ші сурет (б). Рентгенография және томография жасайтын аппараттың негізгі бөлімінің көрінісі

Флюорография − көпшілікті жаппай рентген сәулесімен тексеру әдісі, кәдімгі фотопленкаға жарық беретін флюоресценциялық экраннан зерттеленуші адамның рентген суретін фотоаппаратпен түсіріп алу. Экрандағы көлеңкеленген рентген суретін фотографиялық оптика арқылы түсіретін болғандықтан флюорограмманың рентгенограммаға қарағанда көлемі бірнеше есе кіші болады. Флюорограмманың көлемі кіші (мөлшері-70х70 мм немесе 100х100 мм) болғандықтан оның шешу бейімділігі рентгенограммаға қарағанда төмен болады. Соңғы жылдарда флюорография әдісі санды (цифрлы) тәсіл түріне көшуде. Әдіс арзан, аз уақытта көп адамды зерттеуге болады, сондықтан флюорография кейбір өкпе ауруларын (рак, туберкулез және т.б.) бастапқы кезінде анықтау үшін тиімді тәсіл (сурет-3).

3-ші сурет (а). Флюорографияның жалпы көрінісі.
а) шығаратын түтік; б) зерттелуші тұратын орын;
в) сәулені қарсы алатын флюоресценция беретін экран;
г) фотоаппарат; д) іске қосатын пульт

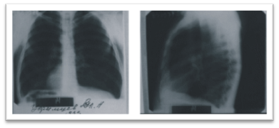
3-ші сурет (б). Екі бағытта түсірілген флюорограммалар (100х100 мм)

Электрорентгенография әдейі аспап (аппарат) қолдану арқылы электрофотография тәсілімен қағазға түсірілген мүшелердің рентгендік суретін алу әдісі. Детектор ретінде ионизацияны есінде сақтайтын қабылеті бар селендік пластина қолданылады. Суретті түсіріп алу уақыты 3-4 минуттан аспайды. Әдістің артықшылығы-шапшаң, технологиялық іс механизацияланған, арзан, суреттің контрастығы жоғары, сумен істейтін фотохимиялық әрекет жоқ. Кемшілігі көлеңкелі суреттердің шекарасы мөлшерсіз анык,айқын,суреттің контрастығы тым жоғары, түсіретін рентген сәулесінің мөлшері де жоғары (10-40 процент). Қазіргі уақытта қолданылуы шектелген. Әдіс травматология мен әскери рентгенологияда пайдаланылады.

Санды (цифрлы) рентгенография − рентгенография әдісінің соңғы жетістігі. Детектор ретінде жартылай өткізгіштер қолданылған, одан алынған мәліметті (информацияны) есептеп суретке айналдырушы – компьютер. Суретті таспаға, қағазға, рентгенпленкаға жазуға болады (сурет-4).

4-ші сурет. Санды (цифрлы) рентгенограмма:

А) контрастығын жоғарылатқан;

Б) контрастығын қалыпты жасаған;

В) рентгенограмманың керек жері үлкейтілген;

Г) негативті позитивке айналдырған;

Алынған ақпаратты компьютермен өзгертіп отыруға болады.